Yapılandırılmış Su ( structured water ) nedir ?
Yapılandırılmış su; kimyasal yapısı değiştirilmeden moleküler yapı formu yeniden düzenlenmiş, oksijen seviyesi maxsimuma çıkartılmış, moleküler olarak alan yüklene bilirliği artırılmış ve enerji seviyesi yükseltilmiş, moleküler hafıza yapısı kazandırılmış sudur.
Nasıl Yapılandırılır ?
Öncelikle bilimsel yöntemlerle su sıfır noktasına getirerek adeta resetlenir.(zeroization) Suyun doğal yapısına dönmesini sağlanırken, suyun moleküler dizilim formu yeniden yapılandırılır, buna bağlı olarak zayıf enerjisini yenilemesi için su hazır hale getirilir. Enerjisini kazanması için proseslerden geçirilirken oksijen açısından fazlaca doyurulan su , sonuç olarak yapılandırılmamış suya göre yüzlerce kat daha aktif ve oksijen açısından maksimum seviyede zengin, molekül yapısı olarak altıgen hale gelir.
Yapılandırılmış ve Oksijen Seviyesi Yükseltilmiş Suyun Hastalardaki Tedavi Süreci Nedir ve Nasıl Olur..?
Hastalarda yapılandırılmış suyun etkisini dakikalar içerisinde insan kanındaki aktivitesini canlı izleyiniz.
Suyun dünyada bilinen en güçlü antibiyotik özelliğini inceleyiniz.
Laboratuvar’da hastalar üzerinde yaptığımız çalımalarda alınan sonuçları görmektesiniz.
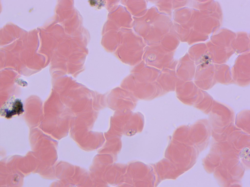
Savunma sistemi zayıflayan kişilerin hastalıklarından dolayı kanda bulunan Eritrositlerin (Alyuvarların) elektirik yüklerini kaybetmesi ve oksijensiz kalmasından kaynaklı simplastlar oluştuğunu ve kan yapısının bozulduğunu görmekteyiz. Kendilerine 1 bardak yapılandırılmış su verdikten 20 dakika sonra etkileri müthiş
Koa Hastası 52 yaşında bir hasta sudan önce
Suyu içtikten 20 dakika sonra
Vücudunda tümör bulunan 42 yaşında bir hasta sudan önce
Suyu içtikten 20 dakika sonra
Vücudun temel yapı taşı olan hücreler yaşamlarını ve fonksiyonlarını devam ettirebilmeleri için enerjiye ihtiyaç duyarlar. Hücreler enerji üretimini iki şekilde gerçekleştirebilir.
- Oksidatif fosforilasyon (Oksijenli solunum )
- Non oksidatif fosforilasyon (Oksijensiz solunum )
Nonoksidatif fosforilasyon neticesinde 2 birim enerji (ATP) elde edilirken son ürün olarak ağırlıklı olarak laktik asit elde edilmektedir. Dolayısıyla bu yolla elde edilen enerji miktarı hem az olmakta hem de hücre için zararlı olan laktik asit başta olmak üzere son ürünler ortaya çıkmakta, hücre ortamı asidik olmakta ve en nihayetinde hücreler yapması gererken fonksiyonları yapamadan zarar görmekte ve ölmektedir. Ayrıca hücre ölümü ile ortaya çıkan atıklar da vücuda zarar vermektedirler. Bu aktivitasyon hızlıca bir kısır döngüye girmekte ve insan organizması zarar görmektedir. Elektrik yükünü kaybetmiş ve simblast oluşturmuş olan eritrosit kümeleri doğal olarak kapiller düzeyde çok dar olan damarlardan geçmekte zorlanacak veya geçemeyecek ve bir tıkaç oluşturacaktır. Eritrositler burdan geçemeyince de hedef dokudaki hücreye oksijen ulaştıramayacaktır. Aynı zamanda tıkaç vücutta başka reaksiyonlar sürecini de başlatacaktır.
Oksidatif fosforilasyonda ise 38 birim enerji ( ATP ) elde edilmekte ve reaksiyonlar sonrasında son ürün olarak ağırlıklı olarak su elde edilmektedir. Su ise hem hücreye hem de organizmaya zararsız bir üründür. Substratın (Hammadde) oksidatif fosforilasyona girebilmesi için oksijen molekülü şarttır. Oksijen , vücutta ağırlıklı olarak eritrositler içerisindeki hemoglobin molekülüne bağlıdır, az bir kısmı serbest oksijen şeklinde kan içinde taşınır. Yani; esasen hedef dokudaki hücrenin oksijene ulaşabilmesi için eritrositin hedef dokudaki hücreye ulaşması şarttır.
Yapılandırılmış ve yüklenebilir enerji seviyesi güçlendirilmiş su ile eritositler tekrar elektrik yükü ile yüklenmekte ve dolayısıyla simblast formu oluşturamamaktadırlar. Böylelikle eritrositler neredeyse tek tek hareket ettiklerinden çok dar kan damarlarından geçebilmekte ve oksijeni hedef hücreye ulaştırabilmektedir. Ayrıca kan içerisinde serbest olarak dolaşan oksijen moleküllerini de arttırdığı için hedef hücrenin oksijenlenmesi artacaktır. Bu da hücrenin fonksiyonlarını normal olarak yerine getirebilmesini sağlayacaktır. Bu hücrelerin öngörülen normal süreçte doğması ve ölmesi demektir.
Bu kısa açıklamadan sonra hangi grup hastalıkların tedavisinde fayda sağlayabileceğine bakalım:
1-Patofizyolojisinde iskemi ( doku oksijenlenmesi azlığı ) olan hastalıklar:
- Kalp damarı hastalıkları : Kalp kirizi , Angina pektoris vb
- Periferik vasküler hastalıklar : Diabetik ayak, emboli, buerger hastalığı,vaskülitler ..vb
- Beyin damar hastalıkları : İskemik inme , vaskülitler .. vb
- Kronik akciğer hastalığı (KOAH) gibi akciğer hastalıkları
- Vb
2 – Kanser hastalıkları : Kanser hücrelerinin oksijenli ortamda üremediği / üremesinin azaldığı bilinen bir gerçektir.
3—Enfeksiyon hastalıkları : Etken i olan mikro organizmanın oksijenli ortamda üreyen mikroorganizmalar hariç ,diğer mikro organizmalar oksijenli ortamda üreyemeyeceklerinden tedaviye yardımcıdır.
Doğaldır ki , bütün hastalıklar ve etki mekanizmasını anlatmak çok mümkün olmadığından detaylı bilgi için ulaşabilirsiniz.
Su üzerine yıllarca araştırmalar yapan Dr Masaru Emato yapılandırılmış ve canlandırılmış suyla yaptığı muhteşem deneyi birlikte izleyelim
Kodlanan su insan vücuduna ve davranış mekanizmasına nasıl etki eder.
Yapılandırılmış su vücudun hızla normal aktivitesine dönmesini sağlarken bir çok hastalıklar belirgin bir süre içersinde
düzelmeye başlamaktadır.
Yapılandırılmış su vücudunuz da bulunan alyuvarları yüzlerce kat enerji ile yükleyerek aktif hale getirir. Vücuttaki hücreleri aktive etmesi vücudun savunmasını arttırarak bozulan kan değerlerini ve organları, sür’atle onarmasını sağlar. İnsan vücudundaki alyuvarların elektrik yüklerini yani enerjilerini kaybetmesi kanda simplastların oluşmasını sağlar. Kırmızı kan hücresine alyuvar denir. Diğer bir ifade ile alyuvarlar; kana al rengini veren, çekirdeksiz, yuvarlak, küçük hücrelerdir. Alyuvarlar (eritrositler) dolaşım sistemi içinde oksijen ve karbondioksit taşırlar.
Alyuvarların enerjisini kaybetmesi oksijeni taşıma kabiliyetini zayıflatır ve vücudun oksijenle beslenmesini engeller. Buda bir çok hastalığın kapısını açar ve vücudun savunması çöker. Kanımızın %50′ si su olduğuna göre hastalık tedavisinde yapılandırılmış (canlandırılmış) suyun şüphesiz ki etkisi çok yüksektir. Ayrıca suyun bir hafızası olduğunu bilmeliyiz. Suyun her bir hafıza hücresinde 440.000 bilgi hücresi bulunmaktadır. Yapılandırılmış suya ne yapmak istediğini söyleyebilirsiniz peki bu ne anlama geliyor. Ona vücutta hangi davranışı sergilemesi gerektiğini söyleyebilirsiniz.
Bilgi Kirliliği
Sosyal medya ile bilgiye hızla ulaşılmasının yanında yanlış aslı olmayan hiçbir fizik ve kimya kuralına dayanmayan, asparagas bilgiler arasında kaybolmak da çok kolaydır. İnternet sitelerinde, bazı kitap ve dergilerde maalesef ciddi bilgi kirliliği mevcuttur. Suyu canlandırın, içine taş koyun, limon sıkıp 7 kere karıştırın, tuz koyun, okuyun , üfleyin, güzel sözler söyleyin, suyu canlandırmanın yöntemleri, güneşte kuartzı bekletip içine atın gibi bilgiler mevcut. Hayatta olan ve davranışlarını kontrol edebilen sistematik canlılar kendilerine karşı yapılan fiili hareketlere anlamlı tepkiler verebilir. Su ancak canlı ve doğalsa yukarıdaki eylem ve fiiller suyun moleküler davranış biçimini etkileyecek unsurlar olabilir. Ama mevcut durumda ölü bir insana iltifatlar edip sevgi gösterisinde bulunup o insanın psikolojisinin düzeleceğini söylemekle aynı şey bu, evet doğada bulunan kaynak sularının bir çoğu canlı aktif ve ph seviyesi yüksektir. Ama bu yapılandırılmış su değildir. Birbirinden çok farklı konulardır.